Skip to main content Start main content

香港理工大學聯同澳門科技大學 • 研發推進新冠肺炎診斷技術

2020年6月15日

科研與創新發展 創新及科技發展處

(左起) 理大應用生物及化學科技學系客座教授劉耀南醫生、澳科大醫學院院長霍文遜教授、理大常務及學務副校長衞炳江教授、澳科大醫學院張康教授介紹兩校共同研發的人工智能系統,以快速精準地診斷新型冠狀病毒肺炎。

研究團隊用於新冠肺炎診斷和重症預測的人工智能模型框架

人工智能系統在肺病灶(病變區域)分割任務上與人工識別病灶之對比圖

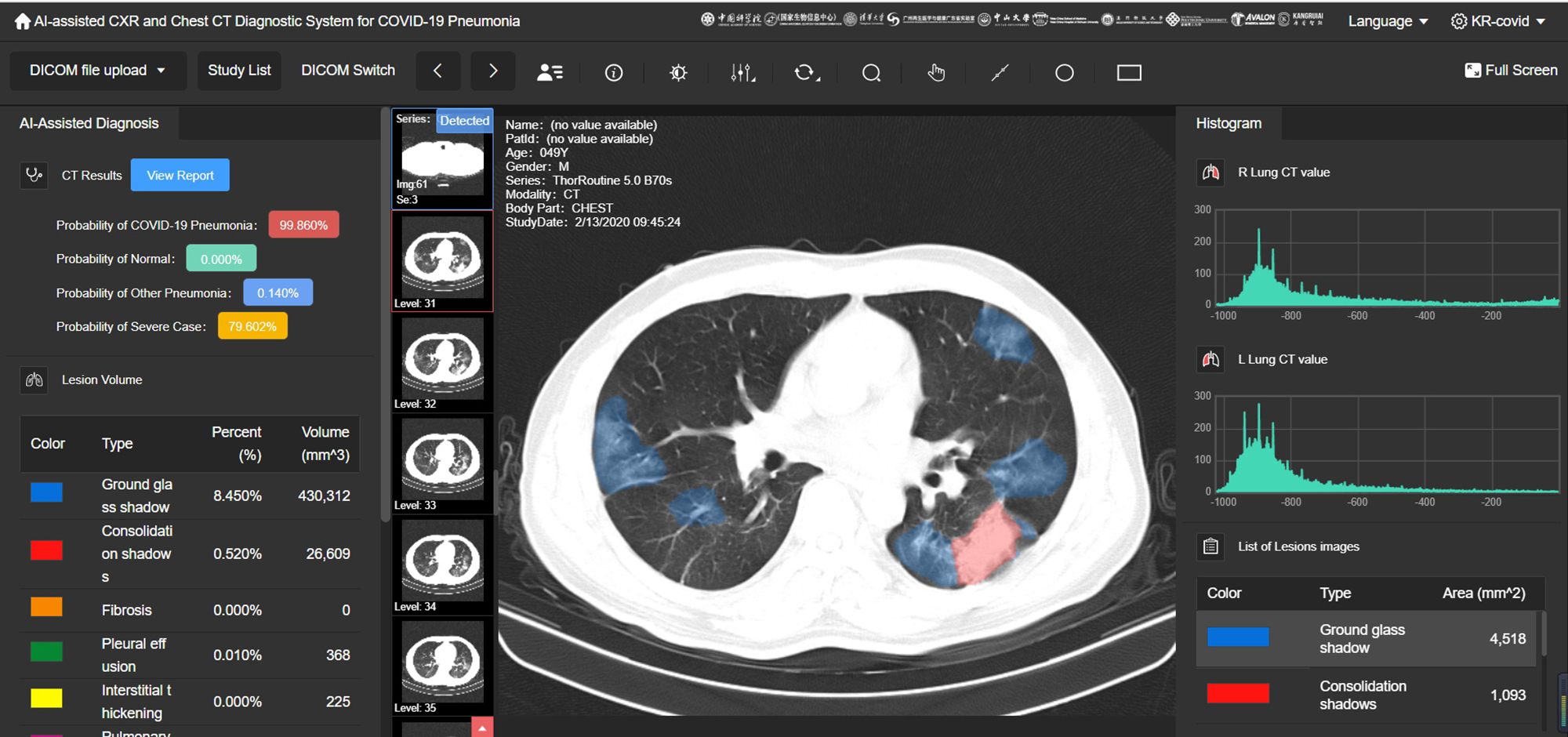
以胸部電腦斷層掃描影像為基礎的新型冠狀病毒肺炎人工智能輔助診斷系統的主介面


新冠肺炎(COVID-19)影響遍及全球200多個國家和地區,面對大量個案,如何快速、準確地診斷識別高危患者以進行早期治療尤其重要。香港理工大學(理大)積極參與抗疫,並與各界夥伴合作,推展多項防控工作。理大今天宣,與澳門科技大學(澳科大) 以及一些國內院校合作,成功開發一套用作快速診斷新型冠狀病毒肺炎的人工智能(AI)系統,這項名為「人工智能輔助影像學對新冠肺炎進行精診斷、定量測量和重症預測」(Clinically Applicable AI System for Accurate Diagnosis, Quantitative Measurements and Prognosis of COVID-19 Pneumonia Using Computed Tomography)的研究(文章連結),經在國際著名科研期刊《細胞》上發表。

 

嶄新人工智能輔助診斷系統通過胸部電腦斷層掃描(Chest CT),能有效地區分肺炎和其他類型肺炎(其他病毒性和細菌性)並於20秒內預測嚴重程度,其準確率高達90%以上。它可以在醫療系統嚴重負荷的情況下發揮重要作,協助放射治療人員和醫生進行快速診斷,加快診斷效率,節省時間。

理大一直運用自身的專業和網絡,並透過與不同界別合作進行研究,為人類福祉而努力。

衞炳江教授

理大常務及學務副校長

研究論文的第一作者澳門科技大學張康教授表示,研究團隊使用來自3,777名病人的大型電腦掃描(CT)數據庫進行深度學習和測試以建立一個人工智能診斷模型用作區分新冠肺炎(NCP)和其他類型肺炎;該人工智能診斷系統能夠提供準確的臨床預測,協助臨床醫生出診斷,及早安排合適的臨床管理資源分配為一眾醫生疫工作提供支援

 

理大應用生物及化學科技學系客座教授劉耀南醫生表示,人工智能團隊使用深度學習,語義分割和多種神經網絡架構等技術,創建一個包含文本分析、量化分析和診斷分類的人工智能診斷系統。此外,根據國際標準上有關肺部病變肺及肝損害的相關研究和臨床指標,開發了一個全面的綜合評分系統,用以更準確地預測肺炎嚴重病變從而進行後續治療。

 

理大與澳科大的科學家,亦繼續就新冠肺炎進行不同範疇的研究合作,為診斷和治療的發展奠定了重要的方向。其中一項有關新冠肺炎患者感染SARS-CoV-2 (COVID-19) 的血清研究,最近亦於另一知名科學期刊《自然醫學》上發表,文章主題為「抗SARS-CoV-2的免疫球蛋白MG抗體的血清反應研究」(Seroprevalence of immunoglobulin M and G antibodies against SARS-CoV-2 in China”) (文章連結)

 

理大常務及學務副校長衞炳江教授表示:「理大一直運用自身的專業和網絡,並透過與不同界別合作進行研究,為人類福祉而努力。疫情期間,我們開發了可檢測新型冠狀病毒的自動快速診斷系統,亦進行了各項抗疫相關的科研。我們與澳科大自2018年起合作,並聯同多間粵港澳大灣區院校與美國合作夥伴組成聯盟,共同構建生物科技和轉化醫學合作研究平台以進行多項高影響力科學研究。雙方的長期合作關係,令我們在新冠肺炎疫情期間得以迅速反應,開發這項針對新冠肺炎的診斷和預測新技術。」

 

澳門科技大學醫學院院長霍文遜教授亦指,此人工智能系統已在不同國家的多間醫院中使用,正與美國貝勒大學美國紐約州立大學水牛城分校和史丹佛大學在內的幾所著名大學合作以應用於當地。相信這個應用系統能夠在香港中國大陸不同地區以至全球採用。

 

COVID-19是一種新的高度傳染性病毒截至610日,全球已有超過700萬人受到感染。在這關鍵時刻,理大和澳科大的研究團隊作夥伴的支持下,將繼續進行針對新冠肺炎的研究,科技應用於預防、診斷、治療和管理等範疇,以對抗疫情。

 

***** *****

詳情查詢

鄭靄玲女士

傳訊及公共事務處

您的瀏覽器不是最新版本。如果繼續瀏覽本網站,部分頁面未必能夠正常運作。

建議您更新至最新版本或選用其他瀏覽器。您可以按此連結查看其他相容的瀏覽器。